ちょっとご報告が遅れましたが、バレンタインデーに4回目の装蹄を行ないました。
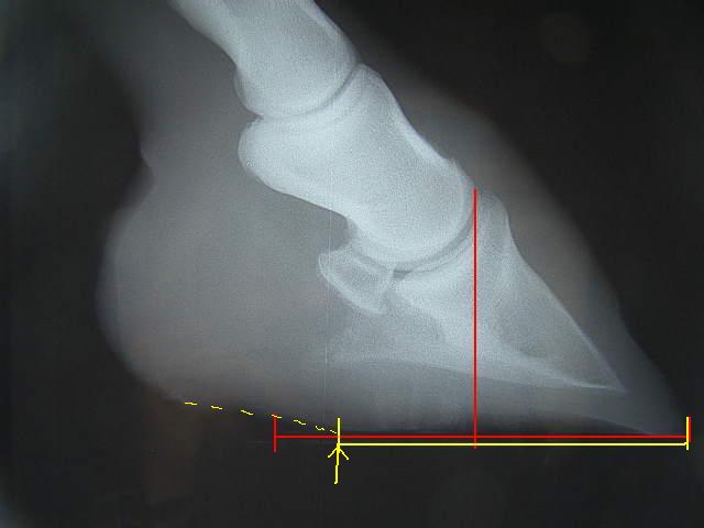
装蹄に先立ち、治療開始3ヶ月後のレントゲンを撮りました。
昨年9月のものと比較してみます。
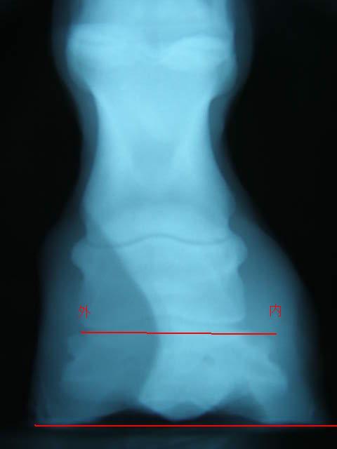
9月の左前肢


今回の左前肢


ラメラーウェッジがだいぶ取り除かれ、蹄が蹄壁にきちんとくっついて生えてきているのが確認できてホッとしました。
前回の装蹄後から左前肢の歩様がおかしかったのは、削り取った蹄の下端が先端のラメラーウェッジを押しているか、蹄尖部に重心がかかるようになっているのがちょっと痛いのではないか、とのこと。
原因がはっきりしてホッとしました。
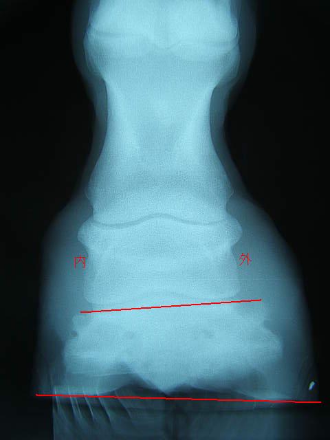
9月の右前肢


今回の右前肢


こちらも蟻洞がなくなりました。
順調に改善しているのが確認できて本当にホッとしました〜

この写真を参考に、装蹄を行ないました。







クラブに着くと、爆睡中の翡翠


起きてよ〜と背中に座ってみたら、マッハの勢いで耳をしょわれました

翡翠用のチョコ代わりのニンジンでなんとか起きてもらいました。
レントゲン結果を元に装蹄師さんと獣医さんが電話で相談して方針を決めてくれました。
かなり蹄は成長しており、更なる葉状層の解離のリスクはほとんどないと思うので、過度なヒールアップは必要ない。
あまり肢軸が破折すると関節に負担がかかり、新たな跛行の原因になる。
↓
左前肢の肢軸の破折を改善するために、いきなりフラットにするのは負担が大きいだろうから、徐々にヒールアップを戻していく。
左前肢正面の蟻洞はほぼ完治し、ローテーションはなくなったのでサイドの蟻洞を切り始める。 今日も左前肢から。
蹄底はきれいなものです。

白線がまだ「黄色線」に見えるのはローテーションの名残だそう。
正常な蹄が生えきればきれいな「白線」になるのでしょう。
正面の蟻洞は進行しておらず、最初に開けた穴もだいぶ下までおりてきました。

ちなみに一番最初はこちら↓

この時開けた穴が蟻洞の頂点だったわけですが、蹄冠部から1cmくらい下にあった穴が2〜3cmも下に下がり、それだけ正常な蹄が生えてきたのかと思うと嬉しい限りです。
サイドの蟻洞は、今回のレントゲンでは認められませんが実際に削っていると蟻洞があることがわかり、少しずつ切り足していくことになりました。
もともと、正面のひどい蟻洞から直していこうという計画だったので、予定通りということになります。


痛みが生じない、歩様に影響が出ない範囲で削りました。
レントゲンに写らなくてもこれだけ蟻洞があるということは、レントゲンに写っていた正面の蟻洞は本当に重症だったのだと痛感しました。
治ってきて本当によかったです。
ヒールアップに関して、蹄壁と蹄底の角度を測ってくれました。
前回は65°。
パットをフラットなものにしたら62°。

3°の変化でも本人にとっては大きく変化したようで、だいぶ軽快に肢を運ぶようになりました。
見た目的にも前回の装蹄後よりも蹄の傾きが緩やかになり、私もホッとしました。
次回からは削蹄で少しずつ角度を寝かせていくそうです。
左前肢のパットも右と同じ青いものになりました。
前回までのピンクの方が落ちてきてる蹄骨を支える効果が強いようですが、ローテーションがなくなったとわかったので青いものにかわりました。
こちらの方が作業はしやすいので助かります。
続いて右前肢。
蹄底は問題なし。

こちらの蟻洞は切り足すこともなく、あとは生えきるのを待つのみです。

右前肢の鉄ができ上がるのを待っています。

この時点で装蹄開始から2時間近く経過。
そろそろガマンの限界です、翡翠くん。
案の定、右前肢のパットを充填している時に怒りのジャンプ

チェーンブッチ切り

この後の後肢も四苦八苦しながら装蹄してくださいました

左前肢の蟻洞は完治するまでもう少し時間がかかりそうです。
でもこれまで痛み止めは一度も使ってないし、歩様も大きく悪化してないし、疝痛も起こしてないし、経過は本当に順調です。
このまま焦らずゆっくり、慎重確実に治療していきたいと思います。